أعرب عدد من العلماء عن تفاؤلهم بشأن إيجاد علاج محتمل لمساعدة الأشخاص المصابين بسرطان المخ غير القابل للشفاء.
وخضع عشرة مرضى حتى الآن في بريطانيا للعلاج الجديد، وهو عبارة عن فيروس يسبب أعراضا تشبه أعراض الأنفلونزا المتوسطة.
وأشارت دراسات أولية إلى أن الفيروس يمكنه أن يعبر حاجز الدم في المخ، وقد يساعد في "تشغيل" أنظمة المناعة في الجسم لمهاجمة الورم.
ويخطط خبراء بجامعة ليدز البريطانية وأربعة مراكز بحثية أخرى لعلاج المزيد من المرضى بالفيروسات.
وعلى الرغم من أن العلاج الجديد لا يحقق الشفاء، إلا أن العلماء يأملون أنه قد يكون مفيدا، باعتباره إضافة للعلاجات التقليدية، مثل العلاج الكيميائي والإشعاعي والأدوية المناعية الأحدث ،التي قد تطيل عمر المريض لأسابيع أو شهور، وربما لسنوات أخرى.
ولا يزال الوقت مبكرا لمعرفة أثر العلاج بالفيروس، إذا كان هناك أثر من الأساس، على البقاء على قيد الحياة، لكن الباحثين يأملون في أنه بإجراء مزيد من الدراسات، سيتمكنون من معرفة ذلك.
وقال الدكتور كولين واتس، خبير في أورام الدماغ بمركز أبحاث السرطان بالمملكة المتحدة، لبي بي سي إنها "خطوة أولى مثيرة في الرحلة باتجاه الاستخدام الإكلينيكي".
وأضاف: "أثبت العلماء، الذين يعملون مع الجراحين وأطباء الأورام، أن الفيروس يخترق الورم ويفعل ما يفترض أنه يفعله، وهو إيقاظ النظام المناعي لكي يرصد السرطان".
وأضاف: "ولا تكشف التجارب السريرية حتى الآن، ما إذا كانت دعوة الإيقاظ تلك كافية لقتل الخلايا السرطانية، والمساعدة في تحسين نجاة المرضى المصابين بأورام في الدماغ".
كيف يعمل؟
يمكن أن يحقن الفيروس في دم المريض، بدلا من حقنه مباشرة داخل الدماغ، الأمر الذي يقول أطباء أنه قد يكون أقل خطورة، ويناسب المرضى.
ويقول الباحثون إن الفيروس، ويسمى الفيروس الريبوزي، يتجه إلى إصابة الخلايا السرطانية، ويترك إلى حد كبير الخلايا السليمة وحدها.
وذكر مرضى يتلقون هذا العلاج إنهم تعرضوا لأعراض جانبية، مشابهة لتلك المصاحبة لإنفلونزا متوسطة القوة.
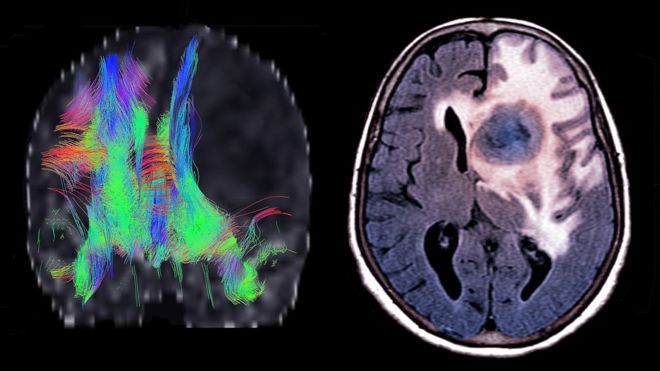
وحتى الآن اعتقد العلماء أنه من غير المرجح أن يتمكن الفيروس من العبور من الدم إلى المخ، بسبب الغشاء الواقي الذي يحيط بالدماغ، والمسمى حاجز الدم في الدماغ.
وثبت، في أول مريض يجري تجربة العلاج عليه، أن الفيروس عبر بنجاح ووصل إلى هدفه.

وكشف تحليل لعينات من الورم أن الفيروس ساعد على تنبيه وحشد النظام المناعي للجسم، لمهاجمة الأنسجة السرطانية.
ونشرت نتائج الدراسة في دورية ساينس ترانسليشنال ميديسن Science Translational Medicine.
ويقول البروفيسور ألان ميلشر، من مؤسسة أبحاث السرطان، والذي شارك في الإشراف على الدراسة: "أنظمتنا المناعية ليست جيدة جدا في رؤية السرطان، ويرجع ذلك جزئيا إلى أن الخلايا السرطانية تبدو كغيرها من خلايا الجسم، وجزئيا لأن الخلايا السرطانية تجيد إخبار الخلايا المناعية بأن تغض البصر عنها. لكن النظام المناعي جيد جدا في رؤية الفيروسات".
وأضاف: "في دراستنا، استطعنا إثبات أن الفيروس الريبوزي يمكن أن يصيب الخلايا السرطانية في الدماغ. والأهم أن أورام الدماغ التي أصيبت بالفيروس أصبحت أكثر وضوحا، بالنسبة للنظام المناعي".
وحثت تلك النتائج أطباء آخرين على تجنيد مرضى جدد، من أجل تجربة حصة كاملة من العلاج.
وبدأت سوزان شورت، أستاذ طب الأورام السريري بجامعة ليدز، بالفعل في علاج أحد المرضى في عهدتها.
وتقول شورت إن هناك إشارات مبكرة، على أن فيروسات أخرى "أقل ضررا نسبيا" ربما تعمل بطريقة أفضل لإعداد الجسم، لمكافحة هذه الأنواع العدوانية للغاية من السرطان بشكل أقوى.
وأضافت: "نأمل أن يقود الأمر في النهاية إلى علاج له أثر كبير، لكننا لا نعرف حتى الآن".
وتقول سارة ليندسل، المدير التنفيذي لمنظمة مكافحة أورام الدماغ الخيرية، التي شاركت في تمويل الدراسة: "أروام الدماغ تحصد أرواح الكثيرين. الطريقة الوحيدة لتغيير ذلك هي عبر الدراسة والبحث. هذا الخبر من جامعة ليدز ومعهد أبحاث السرطان سيكون مرحبا به، من جانب كل من يعرفون جيدا الدمار، الذي يسببه هذا المرض القاسي".
ووفقا لأرقام من مؤسسة أبحاث السرطان بالمملكة المتحدة، فإنه يتم تشخيص نحو 11 ألف حالة إصابة جديدة، بسرطانات الدماغ الأولية، في المملكة المتحدة كل عام.
ويعيش 14 في المئة فقط من المرضى لمدة عشر سنوات أو أكثر، بعد تشخيص إصابتهم بأورام الدماغ الأولية أو الخبيثة.